診療案内
Clinical information
一般歯科
保険診療の対象となる治療として、抜歯、入れ歯、義歯など歯に関する治療、虫歯等の治療・予防、歯周病の予防と治療があります。親知らずの抜歯や虫歯によって治療が不可能になった歯の抜歯、入れ歯等の治療、根管治療・土台、被せ物の治療などがあります。歯周病治療として、歯周病検査・歯石除去・ブラッシング指導があります。
![]() |
![]() |
小児歯科
小児歯科とは、成長発育期にある子供の虫歯の予防や治療を行う診療科です。基本的には0歳児から15歳児くらいまでを対象としています。 小児歯科では、単に虫歯の治療を行うだけでなく、歯磨きの指導や定期検査などを継続的に行いお子さまのお口の健康をトータルでケアします。
![]() |
![]() |
口腔外科
一般の歯科医院では対応が難しい、口の中やその周囲の組織に生じたいろいろな疾患を治療する診療科です。 抜歯・外傷・炎症・嚢胞・腫瘍など、歯および歯周組織、顎骨、顎顔面領域における各種疾患に対して治療を行っています。
![]() |
![]() |
![]() |
![]() |
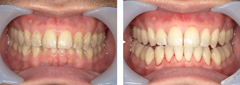
歯周組織再生治療法
歯周病によって失われた骨や歯肉などの歯周組織を再建してその構造と機能を回復させる治療です。 現在、健康保険適用の歯周組織再生薬剤と保険適用外の歯周組織再生薬剤があります。 治療が成功するかどうかはどの薬剤、術式を行ったかというよりもスケーリング、ルートプレーニングによって歯石等の感染物質が徹底的に除去できるているか、毎日のプラークコントロールができているか、喫煙、生活習慣病の有無などがポイントになります。
骨誘導再生治療(GBR)
歯周組織再生治療(GBR)等の再生治療は骨移植、歯肉移植、エムドゲイン(エナメルマトリックスデリバティブ)リグロス(トラフェルミン)、メンブレン(遮断膜)などの材料を用いて行います。歯周組織再生治療は歯肉を切開して骨を露出させる必要があるので歯周外科治療と同時に行います。
![]() |
![]() |
![]() |
![]() |
インプラント
歯科インプラントとは、失った歯の部分にチタン製の人工歯根(インプラント)を埋め入れて、歯本来の機能や見た目を取り戻す治療方法のことをいいます。 失った歯の部分を治療しますので、周囲の歯に負担をかけることがありません。 また、これまでにあった歯と同じような役割を果たしますので、噛む力を分散させ、残っている自分の歯を守ることにもなります。
![]() |
![]() |
![]() |
![]() |
![]() |
![]() |
![]() |
![]() |
審美歯科
審美歯科は、単なる歯の健康維持だけでなく、「歯を白くしたい」「歯並びをきれいに整えたい」などの見た目の美しさを追求すし、機能面の改善も併せて整えることを目的とする歯科治療です。見た目の美しさを追求する歯科医療の分野です。患者様に、自分に自信が持てる健康的で美しい笑顔をもたらすことです。
エアフロー
歯の着色汚れを落とし、本来の色に近づけるだけではなく、口全体の汚れを短時間で効率よく落とします。
歯や歯茎に負担が少なく、痛みもほとんどありません。
虫歯や歯周病の予防に効果的で、歯の汚れを落とし口の中をすっきりとさせます。


■CAD/CAMシステム「セレックシステム」
多くの人が歯科治療というとイメージする『銀歯』について、各種メディアで『金属アレルギー』の一因として取り上げられているをご覧になられて、不安を感じでおられるのはないでしょうか。
CAD/CAMシステム「セレックシステム」はお口の中を立体撮影が可能な小型のビデオカメラ(光学印象採得カメラ)で撮影します。
そのデータをもとにコンピューターが詰め物・被せ物をデザインします。
詰め物・被せ物の製作には、安定した物体の材料(マシナブル・マテリアル)を使用しデザイン通りに加工機が高速で削り出します。
金属ではないので錆びることがなく、お口の中を清潔・健康に保ちます。
[ 特 徴 ]
- 銀歯での金属アレルギーの不安を解消できます。
- 虫歯の進行具合によっては1回の来院で治療を終了できます。
- 苦しいお口の型取りを、小型のビデオカメラで短時間で楽に行えます。
CAD/CAMシステム
「セレックシステム」
![]() |
![]() |
![]() |
![]() |
![]() |
![]() |
※口腔内の現状により保険の適用も可能になります。




























